Prevenzione della displasia: Migliora la vita del tuo cane!
La Clinica Veterinaria Certosa di Milano è specializzata nella prevenzione della displasia delle anche e del gomito nei cani, grazie alla competenza del suo team di ortopedici referenti accreditati FSA (Fondazione Salute Animale). La displasia è una delle patologie scheletriche ereditarie più diffuse nei cani di media e grande taglia, ma grazie a una diagnosi precoce è possibile prevenirne gli effetti più gravi e migliorare la qualità della vita dell’animale.
L’obiettivo del nostro ambulatorio è fornire diagnosi precise e interventi tempestivi, combinando tecnologia di ultima generazione e competenze veterinarie avanzate in ortopedia, neurologia e radiologia.
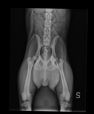
La displasia dell’anca è una malformazione articolare che si sviluppa durante la crescita del cane. Consiste in un errato accoppiamento tra testa del femore e acetabolo, che causa instabilità articolare, dolore e progressiva degenerazione della cartilagine.
Le cause sono multifattoriali e comprendono:
- fattori genetici, trasmessi dai genitori;
- errori alimentari, come eccesso di calcio o crescita troppo rapida;
- traumi o esercizio fisico intenso in fase di sviluppo;
- condizioni ambientali non idonee.
La displasia non si manifesta subito con sintomi evidenti: ecco perché la
prevenzione e lo
screening precoce sono fondamentali per intervenire prima che la patologia provochi dolore cronico, artrosi o difficoltà motorie.
Diagnosi precoce: quando e come intervenire
Presso la nostra clinica, la prevenzione della displasia delle anche inizia con uno studio radiografico approfondito, effettuato in anestesia o sedazione controllata. L’esame è sicuro e permette di valutare l’articolazione anche nei cuccioli, già a partire dai 3 mesi e mezzo di età.
L’indagine comprende:
- visita clinica ortopedica completa;
- radiografie in più proiezioni (standard, distratta, a rana e DAR);
- valutazione della colonna e, se necessario, anche dei gomiti.
Grazie a una diagnosi precoce, è possibile intervenire con tecniche correttive mininvasive, evitando in futuro interventi chirurgici complessi e migliorando la mobilità articolare dell’animale.
Displasia del gomito e neurologia veterinaria
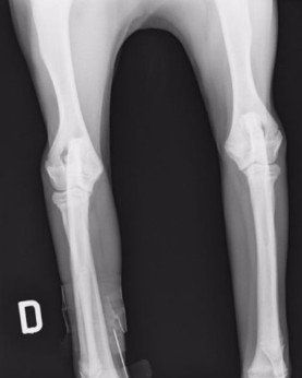
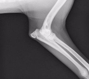
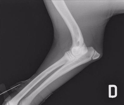
Oltre all’anca, la nostra clinica si occupa anche della displasia del gomito, una patologia multifattoriale che colpisce spesso le razze di taglia grande. Essa può derivare da:
- frammentazione del processo coronoideo (FCP);
- mancata unione del processo anconeo (UAP);
- osteocondrite dissecante (OCD);
- incongruenza articolare (INC).
Un’indagine ortopedica e neurologica combinata consente di distinguere i disturbi articolari da quelli neurologici, come compressioni midollari o neuropatie periferiche, che possono manifestarsi con sintomi simili.
Presso la Clinica Veterinaria Certosa, la valutazione viene condotta con strumentazione digitale avanzata e sotto la supervisione dei nostri specialisti, Dr. Marco Lorenzon e Dr. Alessandro Tripicchio, entrambi referenti FSA e professionisti con lunga esperienza in chirurgia ortopedica e neurochirurgia veterinaria.
Radiologia digitale e controllo ufficiale FSA
Per garantire la massima precisione diagnostica, la nostra clinica dispone di due apparecchiature radiologiche digitali ad alta risoluzione.
- Una dedicata alla radiologia generale, ideale per lo studio di anche, gomiti e articolazioni.
- Una dedicata alla radiologia dentale, utile per le indagini specifiche del cavo orale.
Le radiografie ufficiali per la classificazione FSA della displasia vengono eseguite secondo i protocolli riconosciuti a livello nazionale, assicurando tracciabilità e validità dei referti.
Il costo dello studio radiografico preventivo completo (10 radiografie con anestesia o sedazione) è di 260 euro IVA inclusa, mentre quello per la classificazione ufficiale FSA è di 250 euro più la quota di lettura della Centrale.
Referenti per la chirurgia ortopedica:
Dott. Marco Lorenzon
Laureato a pieni voti iscritto all’Ordine dei Veterinari della provincia di Milano dal 2014. All’interno della Clinica Nobili si occupa di chirurgia dei tessuti molli e ortopedia.
Frequentatore della Clinica Veterinaria del dr. Antonio Ferretti (Dipl. ECVS) da maggio 2014.
Dal giugno 2015 ha conseguito l’accreditamento FSA per l’esecuzione delle radiografie ufficiali per il controllo della displasia dell’anca e del gomito, della lussazione della rotula e di altre patologie scheletriche ereditarie del cane.
Ha completato nel 2017 l’itinerario didattico di Chirurgia dei tessuti molli ESVPS (European School of Postgraduates Studies) per l’accreditamento General Practitioner Certificate in Small Animal Soft Tissue Surgery.
Ha seguito numerosi corsi di perfezionamento per l’esecuzione di tecniche chirurgiche specialistiche ed ortopediche avanzate. Ha partecipato a numerosi congressi nazionali ed internazionali. Socio SCIVAC dal 2014, SIOVET ed ESVOT dal 2015, SCVI dal 2016.
Dott. Alessandro Tripicchio
Nel 2008-2009 ha trascorso l’ultimo anno di università con il piano Erasmus in Spagna (Barcellona) dove ha frequentato per 3 mesi l’Ospedale Veterinario dell’Università Autonoma di Barcellona. Durante gli studi universitari ha frequentato la Clinica Tibaldi come studente praticante e successivamente alla laurea come tirocinante per sei mesi.
Laureato in medicina veterinaria presso la Facoltà di Medicina Veterinaria dell’Università degli Studi di Milano a marzo 2010, da subito si interessa di chirurgia dei piccoli animali:
ottobre 2010 frequenta il tirocinio specialistico di chirurgia presso la Clinica Gran Sasso a Milano in affiancamento al responsabile Dr.Roberto Bussadori affinando le tecniche di chirurgia di base e toracica.
Marzo 2011 segue corso di fissazione interna (fixin) tenuto dagli ortopedici veterinari Petazzoni, Urizzi Damato.
Dal maggio 2011 inizia rapporto di collaborazione con il Dr. Morabito specialista in ortopedia dei piccoli animali, seguendolo come assistente nell’attività di chirurgia principalmente ortopedica e neurochirurgia ma anche chirurgia dei tessuti molli presso cliniche e strutture veterinarie in Lombardia e Piemonte, oltre ad assisterlo ai vari corsi di ortopedia in cui Il Dr. Morabito Paolo è stato relatore.
Partecipa a numerosi tra corsi e congressi di ortopedia veterinaria; fra i più significativi:
- settembre 2012 congresso mondiale di ortopedia a Bologna;
- settembre 2012 corso di fissazione esterna ibrida e lineare;
- marzo 2013 corso specialistico di fissazione circolare e correzione deformità angolari presso il Dr. Rovesti Clinica Miller Cavriago;
- giugno 2013 partecipa al corso di base per il controllo della displasia dell’anca e del gomito, della lussazione della rotula e di altre patologie scheletriche ereditarie del cane con successivo accreditamento e abilitazione come veterinario referente FSA;
- novembre 2013 ortopedia e traumatologia del cane sportivo (SIOVET);
- marzo 2014 itinerario didattico di neurologia clinica e chirurgica;
- aprile 2014 itinerario didattico di neurologia clinica e chirurgica UNISVET;
Il Dr. Tripicchio è socio SIOVET(Società Italiana di Ortopedia Veterinaria).
Attualmente opera come libero professionista svolgendo attività di consulenza chirurgica esterna rivolta ai colleghi occupandosi prevalentemente di ortopedia presso strutture veterinarie di spicco situate nei territori della regione Lombardia, Piemonte e del Sud Italia.
La prevenzione non serve solo a identificare la patologia, ma soprattutto a evitare le conseguenze invalidanti che essa può comportare. Effettuare uno screening radiografico precoce permette di:
- diagnosticare in anticipo eventuali anomalie articolari;
- intervenire con tecniche conservative o chirurgiche mirate;
- prevenire artrosi e dolore cronico;
- migliorare la qualità della vita e la deambulazione del cane;
- supportare gli allevatori nella selezione genetica responsabile.
La prevenzione della displasia delle anche rappresenta un
investimento nel benessere futuro dell’animale, riducendo i costi e le sofferenze legate ai trattamenti tardivi.
Prenota ora una visita per la prevenzione della displasia delle anche presso la nostra clinica di Milano.
Contattaci per ricevere maggiori informazioni sui nostri protocolli ortopedici e sulle diagnosi ufficiali FSA.












